L’Organisation Spatiale de la Bouche est une réponse globale qui vise à obtenir un équilibre buccal.
Son efficacité repose sur la prise en compte intégrale de la bouche, des causes réelles des perturbations (le pourquoi ?) et du sens (le pour quoi ?) des déséquilibres.
Le nom d’OSB a été créé en 2005 par le Dr Rodrigue Mathieu et moi-même.
Mais les recherches cliniques et scientifiques, dont l’origine sont celles des travaux de Rodrigue, datent de 1984.
À travers ces nombreuses années de constats répétitifs, l’OSB a permis de trouver les causes réelles et profondes des désordres bucco-dentaires et de les interrompre : malpositions dentaires, décalage des structures osseuses, problèmes gingivaux, problèmes linguaux, problèmes posturaux, etc.
L’OSB a une vision globale de l’être humain : l’équilibre bucco-dentaire est profondément lié à l’équilibre physique, physiologique, psychologique. Cette science expérimentale a recours à des techniques fonctionnelles dentaires.
Les causes des déséquilibres dentaires :
Le déséquilibre buccal résulte d’un problème de structure osseuse associé à des troubles des fonctions vitales oro-pharyngées ou fonctions neuro-végétatives (la respiration, la déglutition, la succion, la mastication et la phonation) et des muscles de la mimique qui exercent des forces importantes sur les dents, en opposition avec ceux de la langue. La résultante de leur contraction est une force qui se dirige vers l’intérieur de la bouche et limite l’expansion du palais.
Ces fonctions façonnent l’architecture de la bouche dès le début de la vie.
Ces fonctions vitales sont la clé de la dynamique et de la croissance dentaire.
Les très nombreuses observations que nous avons pu faire nous ont amené à la conclusion que, suivant une logique dentaire commune à tous, les structures de pensée de l’Homme (provenant de son environnement physique et psychoaffectif) se reflètent dans sa bouche comme dans un miroir. En cas de dysharmonie psychique, les fonctions vitales oro-faciales sont perturbées et modèlent la bouche de façon déséquilibrée, dès le début de la vie. Cette empreinte dans la partie la plus minérale du corps a le double effet d’entériner l’état de mal-être de la personne et d’assurer le maintien dans la durée de cet équilibre précaire, qui n’est, en réalité, qu’un déséquilibre maintenu en place, d’année en année, avec pour corollaire tout un ensemble de maux associés.
Nous constatons qu’à l’inverse, l’Organisation Spatiale de la Bouche modifie le vécu global des patients par la façon différente dont ils ressentent l’influence de leur environnement.
Les incidences du déséquilibre buccal :
Les perturbations des fonctions neuro-végétatives (FNV) responsables du déséquilibre buccal ont des conséquences multiples sur l’état de santé et le quotidien des patients.
Elles peuvent se manifester par :
- des céphalées ;
- une ventilation buccale ;
- des problèmes ORL ;
- des ronflements ;
- des apnées obstructives du sommeil ;
- un sommeil agité ;
- des allergies ;
- des difficultés de concentration ;
- des troubles de la croissance ;
- etc.
Elles conditionnent l’état psychique d’une personne et influencent ses comportements.
Le principe fondamental sur lequel s’appuie l’OSB :
Ce principe est celui de FORME et FONCTION (voir données scientifiques).
Les dysfonctions (déglutition atypique, ventilation buccale et mauvaise mastication) entraînent des déformations qui accentuent les dysfonctions qui augmentent les déformations…
La thérapeutique prend en compte ces 2 données en proposant :
- une (ré)éducation des FNV à l’aide d’appareils fonctionnels appelés Activateurs Pluri-Fonctionnels

Exemple d’un des 65 appareils que nous utilisons
- remise en forme de l’occlusion (rencontre des dents du haut et du bas)

Un protocole précis :
En reprenant le principe fondamental, selon lequel la forme et les fonctions sont inséparables, l’OSB affirme son objectif : stimuler – pour les enfants – ou relancer – pour les adultes le développement harmonieux de la région buccale.
Pour cela dans le cadre de la méthode de l’OSB, le praticien suit respectueusement scrupuleusement les différentes étapes :
- diagnostic du déséquilibre buccal et de ses origines ;
- détermination de l’objectif à atteindre : l’équilibre terminal ;
- présentation du traitement global et structurel de la bouche avec mise en place des outils ;
- engagement du praticien et du patient sur la recherche d’une bouche équilibrée ;
- adaptation de la logique de thérapeutique dentaire spécifique à l’OSB d’après les critères de la bouche équilibrée, des 3 positions successives (libération, évolution, équilibre) et la mise en place des outils matériels, selon le rythme d’autostimulation et d’auto guérison du patient ;
- protocole d’utilisation des outils : enfants (APF*, Collages APF*, plaques à pistes et APF* modifié), adultes (APF*, cales amovibles APF*, collages APF*, plaques à pistes et APF* modifié).
* APF : Activateurs Pluri-Fonctionnels
Un objectif précis :
Les années d’observations cliniques nous ont permis d’établir 7 critères structuraux et fonctionnels précis d’une bouche en équilibre.
Ces critères sont un guide permanent et servent tout au long de la thérapie de repères quant aux actes techniques à mettre en place.
Ils nous permettent également de savoir quand arrêter un traitement.
L’OSB permet ainsi de libérer la bouche des entraves qui empêchaient son développement harmonieux, lui redonnant tout son potentiel d’équilibre, et par là même, tout le potentiel de guérison présent dans chaque individu. Elle rend alors possible, en parallèle à ce nouvel équilibre, la capacité au corps (et à l’esprit) d’améliorer de nombreuses pathologies générales en lien à cet équilibre buccal.
L’Organisation Spatiale de la Bouche donne au patient la capacité d’être acteur de son traitement et de retrouver ainsi son propre équilibre.
Une thérapeutique pour qui ?
L’Organisation Spatiale de la Bouche est une réponse globale applicable à toutes les personnes, quels que soient l’âge, les déformations osseuses ou l’état des dents. Elle stimule la croissance buccale des enfants et relance celle des adultes.
Cette thérapeutique apporte de réelles solutions à des bouches atrophiées, à des dysfonctionnements bucco-dentaires ou à des cas cliniques très complexes.
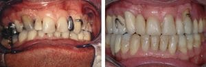
Les résultats sont visibles et ressentis très rapidement dans le cadre du traitement (voir cas cliniques).
C’est une thérapeutique qui demande aussi du temps pour garantir des résultats stables (en moyenne 3 ans).
Nous disons que c’est une thérapeutique avec des bénéfices « immédiats » et des résultats sur le long terme.